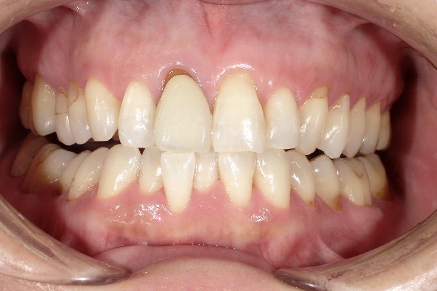
【ホームホワイトニング】歯を白くしたい
- 担当医
- -
- 主訴
- 歯を白くしたい
- 期間
- 2週間
- 費用
- 33,000円
- 治療内容
- ホームホワイトニング
- 治療に伴うリスク
- 知覚過敏
【オフィスホワイトニング】歯を白くしたい
- 担当医
- -
- 主訴
- 歯を白くしたい
- 期間
- 1日
- 費用
- 26,000円
- 治療内容
- 上下前歯部のオフィスホワイトニング
- 治療に伴うリスク
- 知覚過敏
【オフィスホワイトニング】歯を白くしたい
- 担当医
- -
- 主訴
- 歯を白くしたい
- 期間
- 1日
- 費用
- 26,000円
- 治療内容
- 上下前歯部のオフィスホワイトニング
- 治療に伴うリスク
- 知覚過敏













